The first brain images revealed by the most powerful MRI in the world

NEWS

  02/04/2024 | Pascal Lemontel

 

 
Facebook Twitter Mail Imprimer
This article is also available in the following languages:
 

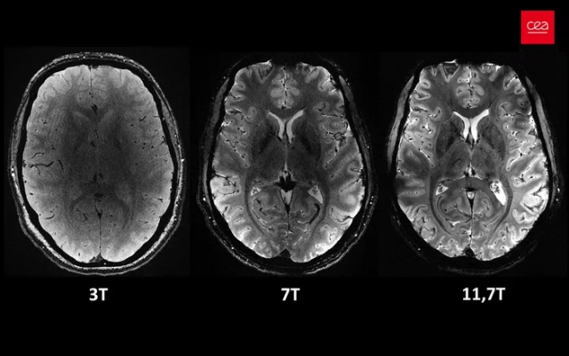
The Iseult MRI scanner, developed in Paris-Saclay by the Atomic Energy Commission (CEA), is the most powerful in the world. Equipped with an unrivaled magnetic field of 11.7 Tesla, it greatly outperforms traditional hospital MRIs (1.5 or 3 Tesla).

The images obtained by Iseult are of exceptional precision, revealing anatomical details unattainable at lower magnetic fields. Healthy volunteers were scanned in this 132-ton magnet, with no adverse effects on their health. This major advance in neuroscience opens new perspectives for research and understanding of neurodegenerative and psychiatric diseases.

However, its high cost (70 million euros) limits its widespread distribution.

  Pascal Lemontel

 WE RECOMMEND YOU

  > No systematic MRI for women taking a contraceptive micropill

  > Paris hospitals threaten to go on strike from September 10

  > Anxiety disorders: a 10-day mental health retreat in Saujon for busy people!

 










   
 

Cuisiner: une nouvelle piste anti-Alzheimer ?

 NEWS 

 

 30/03/2026

Une étude japonaise révèle que cuisiner au moins une fois par semaine pourrait réduire d’environ 25 % le risque de démence chez les seniors. Suivant plus de 11 000 personnes pendant six ans, les chercheurs ...

   
   

Vaccine: A glimmer of hope against Lyme disease despite an insufficient trial

 NEWS 

 

 25/03/2026

Pfizer and Valneva announced this week that their experimental Lyme disease vaccine showed "strong efficacy" in an advanced clinical trial, although it did not meet its primary endpoint. According to ...

   
   

Aging well is becoming a strategy!

 NEWS 

 

 23/03/2026

In France, there are nearly 42,000 centenarians today, and an estimated 700,000 worldwide. Why do some people reach, or even surpass, the age of 100 without any major health problems? The secret to ...

   
   

Sleep: Why is it important to get up at regular times?

Who hasn't ever wanted to stay a little longer, or even a lot longer, snuggled up in bed when the alarm clock rings louder than ever? As tempting as it m

   
   

 25/03/2026

Vaccine: A glimmer of hope against Lyme disease despite an insufficient trial

Pfizer and Valneva announced this week that their experimental Lyme disease vaccine showed "strong efficacy" in an advanced clinical trial, although it did not meet its primary

 

 NUTRITION 

  20/03/2026

Nutri-score: better rated products, not necessarily more expensive!

A study by Public Health France, conducted with INRAE, challenges the idea that products with higher Nutri-Score ratings are systematically more expensive. The analysis, covering

 

 NEWS 

  18/03/2026

Medical appointments in France: waiting times are skyrocketing

According to the third barometer of the French Hospital Federation (FHF), getting an appointment with a general practitioner now takes three times longer than in 2019. The

 

 SOCIAL 

  16/03/2026

The safety of Covid-19 vaccines confirmed after 5 years of monitoring

The French National Agency for Medicines and Health Products Safety (ANSM) has announced the closure of its national pharmacovigilance investigation into mRNA vaccines against

 

 NEWS 

  10/03/2026

Noise, screens, heat: the French are sleep-deprived!

 

 TREATMENTS 

  07/03/2026

Parkinson's disease: a new treatment approved in Japan

 

 NEWS 

  04/03/2026

Mental health: women are increasingly vulnerable

 

 TREATMENTS 

  |  02/03/2026

Anxiety disorders: a 10-day mental health retreat in Saujon for busy people!

 

 NEWS 

  27/02/2026

Medical software hack: sensitive data leak



   

Contenus sponsorisés


 19/05/2025

Melanoma: Concrete Initiatives in Care

 

 PREVENTION 

  03/03/2025

Meningitis: a large-scale vaccination campaign in the Rennes metropolitan area

The Regional Health Agency (ARS) of Brittany has announced a large-scale vaccination campaign for 100,000 young people aged 15 to 24 in the Rennes metropolitan area following

 

 PREVENTION 

  04/02/2025

COPD: The importance of early diagnosis!

COPD, a chronic respiratory disease that remains largely unknown, is claiming more and more victims. Early diagnosis, a major challenge, was highlighted at the 29th French-Language

 

 PREVENTION 

  03/02/2025

Colorectal cancer: The ARC Foundation breaks the taboos!

When detected early, colorectal cancer is curable in 90% of cases, while the 5-year survival rate is only 14.3% in the presence of metastases, making it the second leading

 

 PREVENTION 

  21/01/2025

Eye problems: Take care of your eyes today!

 

 PREVENTION 

  30/12/2024

Bacterial meningitis: expanded vaccination from January 1, 2025

 

 PREVENTION 

  28/10/2024

Prostate cancer: innovative treatments and diagnostics!

 

 PREVENTION 

  16/10/2024

The air in our homes: a ticking time bomb for our health!

 

 PREVENTION 

  01/10/2024

RSV in seniors: vaccination is essential!



   


     
     







 
     
     
 
 

NOS RADIOS

 

SERVICES

 

THEMATIQUES

 

OUTILS

 

Radio Public Santé
Public Santé Seniors
Public Santé Détente
Public Santé Loisirs & Sports
Public Santé Famille
Public Santé Sexo
Public Santé Nutri-Conso
Public Health Radio
Bien-être Animal
Replay News
Replay News Eco
Replay News Story

 

Frequencies
Replay
Programs
Find
Contact us
Health news
Webradios
Seasonal Diseases

 

Beauty
Nutrition
Family
Hobbies
Prevention
Psychology
Research
Treatments
Sport
Administrative & social
Litterature
Sexology
Animal health

 

Flux RSS
Facebook
X (Twitter)
Linkedin
Newsletters
Services
Journalists
Technical
Press

 

 
 

Rights of reproduction and distribution reserved © Control Channel 2006-2026
Strictly personal use. The user of the site acknowledges having read the usage rights license,
in accept and respect its provisions.

Mentions légales | Conditions générales d'utilisation | Politique de protection des données personnelles | Politique relative aux cookies